(李桂兰报道)近日,江西省肿瘤医院胸外三病区收到患者胡大爷及家属赠送的两面锦旗。“医德高尚暖人心,医术精湛传四方”“爱心天使服务舒心,仁心仁术护理精心”的字样,不仅是对医护人员专业付出与温暖服务的认可,更印证了科室“精准化、微创化、个性化治疗”的核心理念。

高龄肺鳞癌患者陷多重治疗困境
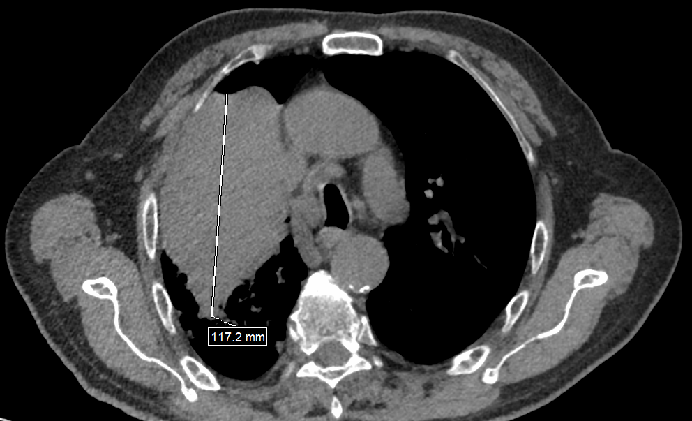
四个月前,70岁的胡大爷因咳嗽、咳痰伴痰中带血,来到江西省肿瘤医院胸外三病区就诊。经CT检查结果显示,其右上肺存在6.5cm×11.7cm大小的肿瘤,经纤维支气管镜活检明确为肺鳞癌,初步评估临床分期为T4N2M0 ⅢB期。
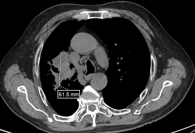
这个比“拳头”还大的病灶让病情变得棘手,不仅侵犯邻近结构且存在区域淋巴结转移,还包裹了周围血管和支气管,且靠近肺门,直接手术风险高、难度大。但胡大爷及家人手术意愿非常强烈。为此,黄建主任团队审慎评估后,决定采用“新辅助治疗”策略:即先通过药物治疗缩小肿瘤、控制潜在微转移,再行根治性手术,并创造保肺条件。方案确定后,胡大爷积极配合治疗。经三个周期的“免疫治疗+化疗”治疗后,复查结果显示胡大爷肺上的肿瘤缩小至4.3cm×6.1cm,达到“可手术切除”标准。
就在大家看到希望时,新的问题出现了,胡大爷有几十年的慢性阻塞性肺炎和慢性支气管炎,肺功能已严重受损,日常爬3层楼都倍感吃力,稍一活动就气喘吁吁,根本达不到肺叶切除的手术标准。而且血红蛋白才60g/L,有重度贫血,这又增加了手术的风险。

(新辅助治疗前CT)

(新辅助治疗后CT)
两周术前预康复准备筑牢手术基础
“不能让患者错过治疗机会!”面对这一复杂情况,黄建主任团队并没有退缩,而是决定先为胡大爷突破“身体条件关”。为此,科室医护团队共同为胡大爷制定了精细化的术前预康复方案,一是开展肺功能强化训练,通过呼吸操、肺功能锻炼器等提升呼吸储备;二是补充营养,针对性改善身体基础状态;三是及时纠正贫血,通过药物与饮食调理双管齐下。
2周后,胡大爷的身体状况迎来显著改善,自觉呼吸状况较前好转,肺功能从最初的中重度阻塞性肺通气功能障碍提升到轻度,血红蛋白调整到96g/L,成功达到手术标准,为后续治疗扫清障碍。
微创手术顺利切除病灶实现康复
术前准备充分后,黄建主任团队为胡大爷在全麻下实施了机器人辅助操作+胸腔镜下肺叶切除术 + 纵隔淋巴结清扫 + 胸膜粘连松解术。术中探查发现胡大爷的右肺叶与胸膜大片粘连,肺门纵膈淋巴结质地坚韧且与周围组织分界不清,粘连严重,稍有不慎可能引发大出血,手术难度远超预期。凭借丰富的临床经验与团队默契,黄建主任精准游离粘连组织、规范清扫淋巴结、完整切除病灶,整个手术操作一气呵成。
得益于术前充分的呼吸道准备,胡大爷的呼吸功能能够较好地耐受手术,术后第一天即下床活动,复查胸部CT见余肺复张良好,成形支气管通畅。术后在医护人员的精心护理下,他顺利康复出院。

(黄建主任团队机器人微创手术)
近年来,江西省肿瘤医院胸部肿瘤外科在局部晚期肺癌综合治疗领域持续突破,多例晚期患者综合治疗后成功手术。此次手术的成功,不仅充分证实了“免疫治疗+化疗”的新辅助治疗能够实现“缩瘤降期”,让原本无法手术的患者获得手术根治机会,还凸显了医护团队对呼吸功能保护和呼吸道准备的高度关注。实践表明,在面对看似治疗难度较大、预后不佳的情况时,只要制定科学合理的综合治疗方案,并依托经验丰富的医护团队进行精准实施,仍能为患者争取到理想的治疗效果,最大限度改善其预后和生活质量。