(熊星星、齐雪亮报道)在泌尿系统肿瘤治疗领域,肾癌合并下腔静脉癌栓的手术一直被视为高难度挑战,尤其对于曾接受长期靶向治疗且身体状况复杂的患者,其手术风险与操作难度显著增加。近日,江西省肿瘤医院泌尿外科吴高亮主任团队凭借精湛医术与创新技术,成功为70岁患者邬某实施机器人辅助腹腔镜下单侧肾切除联合下腔静脉癌栓切除术,通过术中精准体位调整与突破性操作技巧,将这场“生命禁区”的手术转化为安全、微创的治疗典范。
4年抗癌路:靶向治疗下的“隐秘危机”
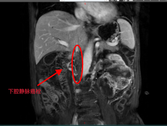
2021年,邬某因持续腰痛、血尿在外院就诊,CT检查显示左肾占位性病变,考虑肾癌;进一步检查发现癌栓已沿左肾静脉蔓延至下腔静脉,形成长约8厘米的充盈缺损影。穿刺病理确诊为肾细胞癌后,患者开始接受靶向药物治疗,病情一度稳定。
然而,今年开始,邬某又出现腰痛合并肉眼血尿伴血块,复查时医生发现癌栓显著增长且紧贴下腔静脉壁,若不及时手术,癌栓脱落引发肺栓塞的风险极高,甚至可能危及生命。

面对这一复杂病情,江西省肿瘤医院泌尿外科吴高亮主任医师迅速启动多学科会诊,最终制定“机器人辅助手术+术中体位优化”的治疗方案。
“患者长期靶向治疗导致组织粘连严重,癌栓位置深、范围广,传统开放手术创伤大、出血风险高;而机器人辅助操作凭借高清3D视野与灵活机械臂,能更精准地分离血管、剥离癌栓。”吴主任解释道。
毫米级操作:机器人辅助操作下的“极限挑战”

手术当日,团队采取“先右侧卧位取肾、再左侧卧位取栓”的分阶段策略。首先,在右侧卧位下精准游离,完整分离并切除左侧肾脏;随后将患者转为左侧卧位,以毫米级精度游离下腔静脉、右肾静脉及腰静脉,充分暴露下腔静脉癌栓段,并彻底阻断右肾静脉、下腔静脉近心端及远心端。切开下腔静脉后发现癌栓已侵犯血管壁,鉴于静脉侧支循环已形成,遂实施下腔静脉癌栓段节段切除术。术中,团队突破传统操作局限,创新应用“分段阻断血流”技术,既有效减少肾脏缺血损伤,又成功避免癌栓碎片脱落风险。
“下腔静脉是人体最大的静脉干,术中稍有不慎就可能引发大出血或空气栓塞。”吴主任团队凭借丰富的经验,在机械臂的辅助下,仅用2小时便成功切除下腔静脉癌栓,术中出血量不足200毫升,远低于传统手术的平均水平。

术后,邬某恢复顺利,当日尿量达800毫升,3天后可下床活动。复查结果显示侧支循环已形成,未出现并发症。出院之际,邬某已恢复正常生活,并向吴高亮主任团队赠送了“仁心驱病魔 妙手斩栓途”的锦旗以表感谢。
技术革新:从“不可治”到“精准治”
此次手术的成功,标志着机器人辅助腹腔镜手术不仅实现了微创化,更通过多体位调整与技术创新,突破了癌栓位置深、粘连重的治疗瓶颈。
“机器人手术不是简单的‘机器替代人’,而是通过精准微创智能技术放大医生的经验与判断力。”吴高亮主任表示,未来将继续探索机器人手术与靶向、免疫治疗的联合应用,为更多患者带来生存希望。
这场“生命禁区”的突破,不仅是医者仁心的生动诠释,更是科技赋能医疗的又一里程碑。在精准医学的时代,江西省肿瘤医院正以创新为刃,为复杂肿瘤患者劈开一条通往康复的希望之路。